Electrocardiography (ECG)
Electrocardiography (ECG) is a simple, non-invasive diagnostic test used to measure and record the electrical activity of the heart. By placing small electrodes on the chest, arms, and legs, the test captures signals that reflect the heart’s rhythm, rate, and overall functioning. It plays a vital role in detecting abnormalities such as irregular heartbeats, conduction issues, previous heart damage, and other cardiac conditions. At Hridaydeep Heart Clinic & Diagnostic Center, ECG testing is performed using advanced equipment to ensure accurate and reliable results. The procedure is quick, painless, and typically completed within minutes, making it an essential first-line evaluation for patients experiencing symptoms like chest discomfort, palpitations, dizziness, or shortness of breath.
The recorded data helps the doctor assess heart health, monitor ongoing treatment, and guide further investigations if required. Regular ECG screening can also be beneficial for individuals with risk factors such as high blood pressure, diabetes, or a family history of heart disease, supporting early detection and timely intervention for better cardiovascular care. The test is painless, safe, and provides valuable insights that guide diagnosis, treatment planning, and monitoring of ongoing cardiac conditions.
Echo
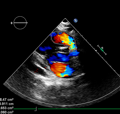
Echocardiography, commonly known as Echo, is a highly effective, non-invasive diagnostic test used to assess the structure and function of the heart. It utilizes advanced ultrasound technology to produce real-time images of the heart, enabling doctors to examine its chambers, valves, walls, and blood vessels in detail. This imaging helps evaluate how well the heart is pumping and ensures that blood is circulating properly throughout the body. Echo plays a crucial role in detecting a wide range of heart conditions. It helps identify valve disorders such as narrowing or leakage, heart muscle weakness, congenital heart defects, and conditions related to abnormal blood flow. It is also useful in diagnosing fluid buildup around the heart and other structural abnormalities that may affect overall cardiac performance.
One of the key advantages of Echo is that it is completely safe, painless, and does not involve any radiation exposure. The procedure is simple and usually takes around 15 to 30 minutes. During the test, a small handheld device called a transducer is gently moved over the chest to capture detailed images of the heart using sound waves. Echo is not only important for diagnosis but also for ongoing monitoring of heart conditions.
TMT
Treadmill Test (TMT), is a diagnostic procedure used to evaluate how the heart responds to physical exertion. As the body becomes active, the heart works harder to supply oxygen-rich blood, and this test helps identify potential issues that may not be evident while at rest. At Hridaydeep Heart Clinic & Diagnostic Center, the test is conducted under expert supervision with continuous monitoring of heart rhythm, blood pressure, and ECG readings while the patient walks on a treadmill with gradually increasing intensity. It is especially useful for detecting coronary artery disease, assessing exercise tolerance, and investigating symptoms such as chest discomfort, breathlessness, or unexplained fatigue.
The Exercise Stress Test provides valuable insights for early detection, risk assessment, and treatment planning. By observing the heart’s performance under controlled stress, doctors can recommend appropriate lifestyle changes, medications, or further investigations to support long-term cardiovascular health and preventive care. This painless and non-invasive procedure is particularly useful for identifying arrhythmias, unexplained palpitations, dizziness, fainting episodes, or evaluating the effectiveness of ongoing cardiac treatment.
