Doctor Consultation
At Hridaydeep Heart Clinic & Diagnostic Center, Doctor Consultation with Dr. Pramod Narkhede focuses on delivering personalized, patient-centered cardiac care in a comfortable and supportive environment. Every consultation is designed to thoroughly understand your health concerns, medical history, lifestyle factors, and symptoms to ensure accurate evaluation and guidance. Dr. Pramod Narkhede combines clinical expertise with compassionate communication, carefully reviewing reports, conducting necessary examinations, and discussing treatment options in clear, easy-to-understand language.
Whether you are seeking preventive heart checkups, follow-up care, or evaluation for cardiovascular symptoms, the consultation process emphasizes early detection, risk assessment, and proactive management. Patients receive tailored advice on medications, lifestyle modifications, diet, exercise, and long-term heart health strategies. The goal is not only to address immediate health needs but also to empower patients with knowledge and confidence to maintain optimal cardiovascular well-being. With a commitment to clinical excellence and patient trust, Doctor Consultation at Hridaydeep Heart Clinic & Diagnostic Center ensures attentive care, accurate diagnosis, and a clear pathway toward better heart health.
Electrocardiography (ECG)
Electrocardiography (ECG) is a simple, non-invasive diagnostic test used to measure and record the electrical activity of the heart. By placing small electrodes on the chest, arms, and legs, the test captures signals that reflect the heart’s rhythm, rate, and overall functioning. It plays a vital role in detecting abnormalities such as irregular heartbeats, conduction issues, previous heart damage, and other cardiac conditions. At Hridaydeep Heart Clinic & Diagnostic Center, ECG testing is performed using advanced equipment to ensure accurate and reliable results. The procedure is quick, painless, and typically completed within minutes, making it an essential first-line evaluation for patients experiencing symptoms like chest discomfort, palpitations, dizziness, or shortness of breath.
The recorded data helps the doctor assess heart health, monitor ongoing treatment, and guide further investigations if required. Regular ECG screening can also be beneficial for individuals with risk factors such as high blood pressure, diabetes, or a family history of heart disease, supporting early detection and timely intervention for better cardiovascular care. The test is painless, safe, and provides valuable insights that guide diagnosis, treatment planning, and monitoring of ongoing cardiac conditions.
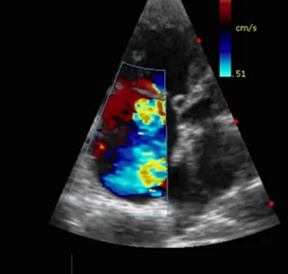
2D Echo / Doppler
2D Echo / Doppler is a non-invasive ultrasound-based diagnostic test used to evaluate the structure, movement, and blood flow of the heart. This advanced imaging technique uses sound waves to create real-time visual images of the heart’s chambers, valves, and surrounding structures, while Doppler technology measures the direction and speed of blood circulation through the heart and major vessels. At Hridaydeep Heart Clinic & Diagnostic Center, this test plays a crucial role in identifying conditions such as valve abnormalities, heart muscle weakness, congenital defects, fluid accumulation, and circulation-related issues. The procedure is painless, safe, and typically completed within a short time, providing highly accurate insights without radiation exposure.
2D Echo / Doppler helps the doctor assess heart function, detect abnormalities early, monitor ongoing treatment, and plan appropriate medical interventions. It is an essential component of comprehensive cardiac evaluation, supporting better diagnosis and improved long-term heart health management. By observing the heart’s response to stress, the doctor can recommend appropriate lifestyle changes, medications, or further investigations to support long-term cardiovascular health.
Ultra Sonography (USG)
Ultra Sonography (USG) is a safe and non-invasive diagnostic imaging technique that uses high-frequency sound waves to produce real-time images of internal organs and body structures. This painless procedure helps in evaluating various medical conditions by providing clear visualization without the use of radiation. At Hridaydeep Heart Clinic & Diagnostic Center, USG examinations are performed with advanced technology to ensure accurate and reliable results. It is commonly used to assess abdominal organs, soft tissues, blood flow, and other internal systems, assisting in the detection of abnormalities, inflammation, fluid collection, or structural changes.
The procedure is quick, comfortable, and requires minimal preparation in most cases. By offering valuable diagnostic insights, Ultra Sonography supports early detection, proper treatment planning, and ongoing monitoring of health conditions, contributing to comprehensive and patient-focused medical care. The procedure is simple, painless, and typically completed within minutes, making it a valuable tool for routine screening as well as emergency evaluation. Its efficiency and reliability make it an essential part of comprehensive diagnostic services, supporting timely and effective patient care.
Exercise Stress Test (TMT)
The Exercise Stress Test, commonly known as the Treadmill Test (TMT), is a diagnostic procedure used to evaluate how the heart responds to physical exertion. As the body becomes active, the heart works harder to supply oxygen-rich blood, and this test helps identify potential issues that may not be evident while at rest. At Hridaydeep Heart Clinic & Diagnostic Center, the test is conducted under expert supervision with continuous monitoring of heart rhythm, blood pressure, and ECG readings while the patient walks on a treadmill with gradually increasing intensity. It is especially useful for detecting coronary artery disease, assessing exercise tolerance, and investigating symptoms such as chest discomfort, breathlessness, or unexplained fatigue.
The Exercise Stress Test provides valuable insights for early detection, risk assessment, and treatment planning. By observing the heart’s performance under controlled stress, doctors can recommend appropriate lifestyle changes, medications, or further investigations to support long-term cardiovascular health and preventive care. This painless and non-invasive procedure is particularly useful for identifying arrhythmias, unexplained palpitations, dizziness, fainting episodes, or evaluating the effectiveness of ongoing cardiac treatment.
Rhythm Holter Monitoring Test
The Rhythm Holter Monitoring Test is a non-invasive diagnostic procedure designed to continuously track and record the heart’s electrical activity over an extended duration, usually 24 to 48 hours. Unlike a standard ECG that captures heart activity for a few minutes, this test monitors heart rhythm throughout daily routines, providing a more comprehensive understanding of cardiac performance. At Hridaydeep Heart Clinic & Diagnostic Center, a compact wearable monitor is attached using small electrodes placed on the chest. The device records heart rhythm while patients go about their normal activities, helping identify irregular heartbeats, palpitations, intermittent arrhythmias, dizziness-related episodes, or unexplained fainting.
The detailed data collected enables accurate diagnosis, evaluation of treatment effectiveness, and better management of heart rhythm disorders. By offering real-time insights into the heart’s functioning in everyday conditions, the Rhythm Holter Monitoring Test supports proactive care and long-term cardiovascular health monitoring. ABPM offers valuable insights that support precise diagnosis and personalized treatment planning.
Ambulatory Blood Pressure Monitoring (ABPM)
Ambulatory Blood Pressure Monitoring (ABPM) is an advanced, non-invasive diagnostic test designed to measure blood pressure continuously over a 24-hour period while a patient carries out normal daily activities. Unlike single readings taken during clinic visits, this method provides a comprehensive profile of blood pressure fluctuations throughout the day and night, offering a more accurate assessment of cardiovascular health. At Hridaydeep Heart Clinic & Diagnostic Center, ABPM is conducted using a compact portable device that automatically records blood pressure at regular intervals. This detailed monitoring is highly effective in diagnosing hypertension, detecting white-coat or masked hypertension, evaluating treatment effectiveness, and assessing overall cardiovascular risk.
The procedure is comfortable and allows patients to maintain their routine without disruption. By delivering precise, real-world insights into blood pressure behavior, ABPM supports accurate diagnosis, informed treatment planning, and proactive management of heart health, contributing to long-term prevention of complications such as heart disease and stroke. This forward-looking care strategy helps maintain optimal heart health, reduce future complications, and support a healthier, more active life.
Pulmonary Function Test
A Pulmonary Function Test (PFT) is a comprehensive diagnostic assessment used to evaluate how well the lungs are functioning. This non-invasive test measures lung capacity, airflow, and the efficiency of oxygen exchange, helping doctors understand respiratory performance and detect potential breathing disorders. By analyzing how air moves in and out of the lungs, PFT provides valuable insights into overall pulmonary health. At Hridaydeep Heart Clinic & Diagnostic Center, Pulmonary Function Testing is conducted using advanced equipment to ensure precise and reliable results. The procedure typically involves breathing into a specialized device that records parameters such as lung volume, airflow rate, and gas exchange efficiency.
It is painless, safe, and completed under professional supervision, making it suitable for patients experiencing symptoms like breathlessness, chronic cough, wheezing, or reduced exercise tolerance. PFT plays an important role in diagnosing and monitoring conditions such as asthma, chronic obstructive pulmonary disease (COPD), and other respiratory disorders. It also assists in evaluating lung function before surgery, assessing treatment effectiveness, and guiding long-term management strategies.
Digital X-rays
Digital X-Rays are an advanced imaging technology used to capture detailed images of the internal structures of the body quickly and accurately. Unlike conventional film-based radiography, digital systems use electronic sensors to produce high-resolution images that can be instantly viewed, enhanced, and stored. This modern approach allows for faster diagnosis while minimizing radiation exposure and improving overall patient safety.
At Hridaydeep Heart Clinic & Diagnostic Center, Digital X-Ray examinations are performed using state-of-the-art equipment to ensure clarity, precision, and efficiency. The procedure is simple, painless, and typically completed within minutes, making it suitable for evaluating a wide range of conditions, including bone injuries, chest and lung concerns, and structural abnormalities. The ability to digitally process and share images enables doctors to assess results promptly and plan appropriate treatment without delay. By combining speed, accuracy, and reduced radiation exposure, Digital X-Rays play a vital role in comprehensive diagnostic care, supporting early detection and effective medical decision-making. By offering accurate data that guides personalized care planning, Laboratory and Pathology Services contribute significantly to proactive health management and improved long-term wellness.
Radiology Procedures
Radiology Procedures encompass a range of advanced imaging techniques used to diagnose, monitor, and guide the treatment of various medical conditions. By utilizing technologies such as X-rays, ultrasound, and other diagnostic imaging tools, radiology plays a crucial role in visualizing internal body structures with clarity and precision. These procedures assist doctors in identifying abnormalities, evaluating organ function, and making informed clinical decisions. At Hridaydeep Heart Clinic & Diagnostic Center, radiology services are performed using modern equipment and standardized protocols to ensure safety, accuracy, and efficiency.
Each procedure is conducted under professional supervision, with careful attention to patient comfort and minimal exposure to radiation where applicable. Radiological evaluations are commonly used for assessing chest and lung health, musculoskeletal conditions, abdominal concerns, and other structural or functional abnormalities. These procedures are typically quick, non-invasive, and essential for early detection and ongoing monitoring of health conditions.
Mammography
Mammography is a specialized imaging technique used for the early detection and evaluation of breast health conditions. This diagnostic procedure employs low-dose X-rays to produce detailed images of breast tissue, helping identify abnormalities such as lumps, calcifications, or other changes that may not be noticeable during physical examination. It is an essential screening tool for the early detection of breast cancer and other breast-related concerns.
At Hridaydeep Heart Clinic & Diagnostic Center, mammography is performed using advanced digital technology to ensure high-quality imaging with enhanced patient safety and comfort. The procedure is quick and minimally uncomfortable, with trained professionals guiding patients through each step to ensure a smooth and supportive experience. Regular mammography screening plays a vital role in preventive healthcare by enabling early diagnosis and timely treatment. By providing accurate and reliable imaging insights, this procedure supports effective medical decision-making, promotes awareness, and contributes to improved long-term health outcomes. By enabling timely intervention, the DEXA scan contributes to improved mobility, reduced fracture risk, and overall long-term wellness.
Fibroscan
FibroScan is a specialized, non-invasive diagnostic test used to assess the health of the liver by measuring liver stiffness and fat accumulation. This advanced technology utilizes painless vibration-controlled elastography to evaluate the degree of liver fibrosis (scarring) and fatty liver changes without the need for invasive procedures such as a biopsy. It provides quick and reliable results, making it an essential tool for early detection and monitoring of liver conditions.
At Hridaydeep Heart Clinic & Diagnostic Center, FibroScan is performed using modern equipment under expert supervision to ensure accurate and comfortable evaluation. The procedure is simple, painless, and typically completed within a few minutes. It is especially useful for patients with risk factors such as fatty liver disease, diabetes, obesity, alcohol-related liver concerns, hepatitis, or abnormal liver function tests. FibroScan plays a vital role in diagnosing liver fibrosis, detecting fatty liver disease, monitoring disease progression, and evaluating treatment effectiveness. By providing precise and immediate insights into liver health, it helps doctors develop personalized treatment plans and preventive strategies, supporting improved liver care and overall long-term health management.
Laboratory / Pathology Services
Laboratory and Pathology Services are essential components of modern healthcare, providing accurate diagnostic information through the scientific analysis of blood, urine, and other biological samples. These tests help detect infections, evaluate organ function, identify metabolic disorders, and monitor overall health status, enabling early diagnosis and effective treatment planning.
At Hridaydeep Heart Clinic & Diagnostic Center, laboratory investigations are conducted using advanced technology and standardized procedures to ensure precise, reliable, and timely results. A wide range of tests—including blood sugar levels, lipid profile, kidney and liver function tests, complete blood count (CBC), thyroid profile, and cardiac risk markers—are available to support comprehensive health evaluation. These procedures are quick, safe, and minimally invasive, making them suitable for routine health checkups as well as ongoing disease monitoring. Laboratory and Pathology Services play a vital role in preventive healthcare, helping doctors make informed medical decisions and guiding personalized treatment plans. By ensuring accurate and efficient diagnostic support, these services contribute to improved patient care and long-term health management.
CBCT / OPG
CBCT (Cone Beam Computed Tomography) and OPG (Orthopantomogram) are advanced dental imaging techniques used to obtain detailed and accurate images of the teeth, jawbones, and surrounding facial structures. These diagnostic tools play a crucial role in evaluating dental conditions, planning treatments, and ensuring precise clinical outcomes.
OPG is a panoramic X-ray that provides a comprehensive view of the entire mouth, including all teeth, upper and lower jaws, temporomandibular joints (TMJ), and surrounding bone structures. It is commonly used to detect impacted teeth, infections, bone abnormalities, jaw disorders, and dental alignment issues. CBCT, on the other hand, offers high-resolution three-dimensional (3D) imaging, allowing for a more detailed evaluation of bone structure, nerve pathways, and complex dental conditions. This advanced imaging is especially useful for dental implant planning, orthodontic assessment, root canal evaluation, and surgical procedures. At Hridaydeep Heart Clinic & Diagnostic Center, CBCT and OPG imaging are performed using modern digital technology to ensure accuracy, safety, and patient comfort with minimal radiation exposure. These quick, painless, and non-invasive procedures provide essential diagnostic information, enabling precise treatment planning and supporting improved dental and maxillofacial care.
Dietician Consultation
Dietician Consultation is a personalized nutrition service designed to support overall health, manage medical conditions, and promote long-term wellness through proper dietary guidance. A qualified dietician evaluates individual health status, medical history, lifestyle habits, and nutritional needs to create a customized diet plan tailored to specific health goals.
At Hridaydeep Heart Clinic & Diagnostic Center, Dietician Consultation plays an important role in managing conditions such as heart disease, diabetes, high blood pressure, obesity, high cholesterol, and other lifestyle-related disorders. Patients receive expert advice on balanced nutrition, portion control, healthy food choices, and sustainable eating habits that support improved health outcomes. This consultation also focuses on preventive care by helping individuals adopt heart-healthy diets, maintain ideal body weight, and reduce risk factors associated with chronic diseases. With continuous guidance and monitoring, Dietician Consultation empowers patients to make informed dietary decisions, enhance treatment effectiveness, and achieve better overall health and quality of life.
Physiotherapy
Physiotherapy is a specialized healthcare service focused on restoring movement, improving physical function, and relieving pain through evidence-based therapeutic techniques. It plays a vital role in the prevention, treatment, and rehabilitation of various musculoskeletal, neurological, and cardiopulmonary conditions, helping individuals regain strength, mobility, and independence.
At Hridaydeep Heart Clinic & Diagnostic Center, physiotherapy is provided under professional guidance using personalized treatment plans tailored to each patient’s condition and recovery goals. Therapy may include targeted exercises, manual therapy, posture correction, mobility training, and pain management techniques designed to enhance physical performance and overall well-being. Physiotherapy is especially beneficial for patients recovering from cardiac conditions, surgery, injuries, chronic pain, or reduced mobility. It also supports improved circulation, muscle strength, flexibility, and endurance. Through structured rehabilitation and expert care, physiotherapy promotes faster recovery, prevents further complications, and helps patients return to their daily activities safely and confidently.
Vaccination
Vaccination is a safe and effective preventive healthcare service designed to protect individuals from various infectious diseases by strengthening the body’s natural immune system. Vaccines work by preparing the immune system to recognize and fight specific infections, reducing the risk of illness, complications, and disease transmission.
At Hridaydeep Heart Clinic & Diagnostic Center, vaccination services are provided following recommended medical guidelines to ensure safety, effectiveness, and proper immunization. Vaccines are essential for people of all age groups, including children, adults, and seniors, especially those with underlying health conditions such as heart disease, diabetes, or weakened immunity. Vaccination plays a crucial role in preventing serious infections such as influenza, pneumonia, hepatitis, and other preventable diseases. This preventive approach supports overall health, reduces hospitalization risk, and promotes long-term protection. By ensuring timely immunization, vaccination services contribute to individual well-being as well as community health and safety.
Rehabilitation
Rehabilitation is a comprehensive healthcare service focused on restoring physical function, improving strength, and enhancing overall quality of life after illness, injury, surgery, or medical conditions. It involves structured therapeutic programs designed to help patients regain mobility, independence, and confidence in performing daily activities safely and effectively.
At Hridaydeep Heart Clinic & Diagnostic Center, rehabilitation services are provided under expert supervision with personalized treatment plans tailored to each patient’s specific needs and recovery goals. These programs may include guided exercises, physiotherapy, mobility training, endurance building, and lifestyle modification support to promote safe and effective recovery. Rehabilitation is especially beneficial for patients recovering from cardiac conditions, surgeries, prolonged illness, or reduced physical capacity. It helps improve cardiovascular fitness, muscle strength, flexibility, and functional performance while reducing the risk of complications. Through continuous monitoring and professional care, rehabilitation supports faster recovery, enhances physical well-being, and promotes long-term health and independence.
Pharmacy
The Pharmacy at Hridaydeep Heart Clinic & Diagnostic Center provides convenient access to high-quality medications and healthcare products to support effective treatment and patient care. It ensures that prescribed medicines are readily available, properly stored, and dispensed accurately under professional supervision.
Our pharmacy offers a wide range of medications, including cardiac drugs, essential prescriptions, preventive medicines, and health-related products. Each prescription is carefully reviewed to ensure correct dosage, safety, and compatibility with the patient’s treatment plan. Patients also receive proper guidance on medication usage, dosage timing, and precautions to promote safe and effective therapy. With a focus on reliability, quality, and patient convenience, the pharmacy plays a vital role in supporting ongoing treatment, improving medication adherence, and enhancing overall healthcare outcomes. By providing trusted pharmaceutical services within the clinic, it ensures a seamless and patient-centered healthcare experience.
Ambulance Service
Ambulance Service at Hridaydeep Heart Clinic & Diagnostic Center provides prompt and reliable emergency medical transportation to ensure timely care during critical situations. Equipped with essential life-support equipment and managed by trained medical personnel, the ambulance is prepared to handle medical emergencies safely and efficiently. This service is available for emergency response, patient transfers, and transportation to and from the clinic or hospital as needed. The ambulance is designed to support patients with cardiac emergencies, injuries, or other urgent medical conditions, ensuring continuous monitoring and care during transit.
With a strong focus on rapid response, patient safety, and professional medical support, the Ambulance Service plays a crucial role in delivering immediate assistance and ensuring patients receive the right care at the right time. This dependable service enhances emergency preparedness and supports comprehensive healthcare delivery.
